毎日の生活でお小水に困っている方をいち早く改善したいと思っています。
お子さんのおもらしから老若男女問わずお小水のプロに御相談下さい。
なかなか話しづらい事、こんな事聞いていいのかなと思われる事があると思います。
些細な事も遠慮なく話して頂き、泌尿器科専門医(指導医)として適切な検査と治療を御提供出来る様に努めさせていただきます。
毎日の生活でお小水に困っている方をいち早く改善したいと思っています。
お子さんのおもらしから老若男女問わずお小水のプロに御相談下さい。
なかなか話しづらい事、こんな事聞いていいのかなと思われる事があると思います。
些細な事も遠慮なく話して頂き、泌尿器科専門医(指導医)として適切な検査と治療を御提供出来る様に努めさせていただきます。
このような症状はありませんか?
1. 尿検査:血尿・蛋白尿・尿糖・膀胱炎の診断が可能です。
@血尿
腎臓、腎盂、尿管、膀胱、前立腺等に腫瘍や結石の他に感染症、血管奇形、腎臓内科の疾患である腎炎疾患等を鑑別として考えます。
まず一番除外したい病気として腫瘍について尿細胞診という外注の尿検査を追加で検査を行います。これは尿中に悪い細胞が混じっているかの検査であり、T〜Xまでの結果次第でさらに検査を追加するかを考えていきます。もう一つの検査として超音波は必ずセットで行います。
見ために血尿が明らかに認められる場合にはよりしっかり精査をする必要があり、膀胱内視鏡を行う事をお勧めしております。
当院はクリニックではございますが、膀胱内視鏡もする事が出来、腎臓〜尿管については近隣の施設との連携にてCTを素早く撮影が出来ますので病院と同様に腎臓〜尿道までの全尿路を評価する事が可能な医療機関でございます。早めに評価する事で経過観察で良いのか治療が必要であるのかお話しをしてまいりますので御相談頂ければと思っております。
A蛋白尿
日常生活で尿の泡立ちが排尿後にずっと消えずに存在する場合に出ていることがあります。
腎臓疾患(腎臓自体の疾患や全身疾患、腫瘍等)、運動、蛋白の過剰摂取や吸収等があります。
血圧の推移、診察にて身体の浮腫み、体重の変化をチェックをします。
身体を動かすことでの蛋白尿を考慮して早朝第一尿の採取、腎臓へ及ぼす影響について尿中のクレアチニンや必要時に採血を追加して精査を進めていきます。
B尿糖
腎臓は血液を尿にかえるろ過装置であり尿中に糖が含まれていると血液中の糖が多く存在している可能性があります。糖尿病の有無を確認するために採血をお勧めします。薬剤の開発にて糖尿病で糖を出す薬もあり、内服薬のチェックは必要事項でございます。
C膀胱炎
尿検査で白血球が陽性である場合には可能性がありますが、症状はなく白血球が出る事もあります。その場合には治療の必要性はありません。
大切な点は症状です。急性膀胱炎は尿の短い女性が多い病気です。外から細菌が侵入し、尿道、膀胱で炎症が起きるため、排尿時に痛みがあり、ダメージがあるために尿意が強くで頻尿になります。また、いつも通りに排尿をする事が難しく感じ残尿感として症状が出ます。腎臓の方へ細菌が影響すると背中の痛みや高熱が出て腎盂腎炎という病気に進展する可能性がありますので早めに治療を開始する事が大切です。
2. 超音波:腎臓、膀胱、前立腺体積、精巣、精巣上体、精索(精索静脈瘤等)の評価を主に行います。
風邪、肺炎、喘息等の時に呼吸器内科医が呼吸音を弁膜症等の心臓疾患を疑う時に循環器内科医が心臓音を聴診するように泌尿器科の聴診器はこの超音波が重要になります。
お腹に少し冷たいゼリーを当てる事で検査が出来、痛みはなく放射線の心配もなく多くの情報の収集が可能です。説明をしながら超音波検査をしていき説明の途中でも遠慮なく御質問の程宜しくお願い致します。急な症状で大きな事が起きていないかが分かり、私たちや皆さんにとって大切な検査の一つであります。
特に排尿の問題(頻尿、残尿感、尿勢低下、腹圧排尿等)や血尿や結石については膀胱内に尿をしっかり溜めて行う検査は溜まっていない状況と比較すると隠れた病気を描出する事が出来、尿をためて検査をする事がとても大切です。
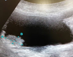
大変申し訳ありませんが例を上げるために画像を供覧致します。
画像1は膀胱内部に突出して膀胱腫瘍であり黒い部分が溜まった尿です。黒い部分が少ないと膀胱の壁が分厚くなる事で発見出来ない可能性が高くなります。前立腺の評価も膀胱内の尿が溜まっている事で正確な前立腺の体積を評価する事が可能となります (画像1、2)。
排尿問題、膀胱、前立腺検査の時には尿を溜めての検査について御協力の程宜しくお願い致します。
画像1:膀胱腫瘍
画像2:前立腺肥大
腎臓については腎結石、腎腫瘍、カラードップラーによる血流の評価等を行います。
腎腫瘍については症状がなく超音波で偶然に発見される割合が非常に多く泌尿器科の超音波時には基本的に全例で行っております。腎臓癌は悪性度が低く小さな腫瘍で再発や転移がなく経過していても10年以降で臀部に転移性腫瘍を認める事があり余談を許さない経過を辿る事がございます。
痛みのない陰嚢腫大、発熱を伴う陰部痛、陰嚢部の違和感(陰嚢部にぼこぼこしたものが触れる等)があった場合には陰嚢超音波で検査を行います。
痛みのない陰嚢腫大は良性のものか悪性のものが所見としてあるのかの判断が大切であり、発熱を伴う陰部痛は精子を成熟する精巣上体の炎症の有無について特に評価を行います。
陰嚢部の違和感については特に後程詳しく記載のある精索を評価する事で不妊や男性更年期の問題となりうる精索静脈瘤の評価を行います。
3. 尿流量測定:今現在出来る限りの尿を溜めて来院いただけるだけで膀胱の排尿機能(排尿筋の活動、膀胱活動の低下による腹圧の必要性の有無)、蓄尿機能(膀胱の膨らむ能力)、前立腺肥大による前立腺部尿道の開大状況について正確にかつ簡便に評価出来る検査です。また排尿までの時間(排尿遅延の有無)、排尿の勢いや排尿時間もデータとして確認出来るため、尿道狭窄や膀胱頸部硬化症の疑いを持つ事が出来、膀胱鏡の検査の必要性の有無について相談する事が可能です。
4. 膀胱鏡検査:胃の調子がよくない、アニサキスが疑われるまた胃からの出血で黒色便が出る時には胃カメラを行います。健康診断で血便が出るまた見た目に赤い便が出るときには大腸カメラを行うと思います。同様に膀胱鏡検査は下部尿路(膀胱、前立腺、尿道)から血尿が出た時、何度も繰りかえす尿路感染症の時、内服薬を飲んでいるが尿が出難い等排尿障害がある時、また膀胱結石が疑われる時等の原因を調査するために最も正確に評価できる検査です。尿の出口から最新の軟性鏡を挿入し尿道、前立腺、膀胱(腫瘍や結石)を評価します
膀胱鏡には金属の硬いカメラの硬性鏡と軟性鏡があり、当院は診療案内のタブに写真を提示させていただいています通りにオリンパスの軟性鏡にて観察を致しますので尿の通り道に負担が少ないです。肉眼的血尿があった時には必ず評価した方がいいと検査です。膀胱鏡を行う前には他の検査と異なり内服の中止、食事制限や尿を溜めたり等全く準備が必要はありません。
体制は砕石位というお産のような体制を取って検査を行います。検査前には麻酔のゼリーを浸透する事により痛みを緩和してお声をかけながらゆっくり検査をしてまいります。検査中は画像が苦手でない方でございましたらリアルタイムでお話しをしながら詳しい説明をする事が可能です。
腫瘍を疑わしい所見がある場合にはNBIという壁が赤いのか腫瘍であるのか判別の材料となるモードが搭載しておりますので詳しく状況を把握出来ます。
健診にはない検査でございますが、制限なく短時間でクリアな画像で正確に評価出来る膀胱鏡は当院の特徴でございますので遠慮なく御相談の程宜しくお願い致します。
以下超音波と同様に画像の例を提示させていただいております。
画像3:膀胱腫瘍
画像4:膀胱結石
画像5:前立腺肥大
検査は大事ですが、一番大切なことはどうして当院にいらっしゃっていただいたのか困っている事を知る事です。
必要時にはアンケートなどを記入いただき、総合評価を行い、それぞれの方にあった治療を一緒に考えてまいります。薬も大切ですが、日々の生活の工夫も大切です。ご自宅でできる体操は診察室で実演し、お伝えできればと思っております。
当院での一例です
とある地方からご家族のいる浦安へしばらく滞在されたご年配の男性です。夜間頻尿(3回)を困っておられ当院を受診されました。検査後にその方に効果があると思われる頻尿改善薬を処方したところ、夜間頻尿は1回に改善し「こんな生活した事は久しぶりです、ありがとう。」と大変喜ばれました。その後ご自宅に戻る事になり、内服を続けたいと伺いましたので、早速かかりつけ医へ紹介状をお送りしました。この男性の感謝の言葉に、力になれて本当に良かったと思いました。患者さんの笑顔とありがとうはまた頑張って仕事が出来る大きな活力になります。
最近身体がだるくやる気が出ない、不安、神経過敏、生気消失、興味消失、ほてり、関節・筋肉関連症状、睡眠障害、記憶注意力の低下、集中力の低下、性欲低下、勃起力低下など、これら症状は男性ホルモンの低下が一因とも言われています。男性ホルモンは95%が精巣、残りの5%副腎等で産生されています。精巣のライディッヒ細胞で総テストステロンを産生しておりますが、そのうちの約2%が生理活性のある遊離テストステロンが大きく関与しており加齢により低下してまいります。副腎の場合にはDHEA(デヒドロエピアンドロステロン)です。男性ホルモン注射や勃起改善薬で生き生きとした生活を取り戻せるかもしれません。
当院は2023年3月現在、千葉県で12人取得している性機能学会専門医がこの問題に関して御相談を承ります。診察前に簡単な問診票の記載をいただきます。正確に男性ホルモン評価を行うために午前中に採血を行い、結果にて2週間〜4週間おきの男性ホルモン注射を検討致します。
心身の状況にて漢方薬も併用する事があります。
お悩みがあるかたは午前中11時までに御来院の程宜しくお願い致します(諸都合で初回午後御来院のかたは後日、午前来院で採血をお願いしております)。
@ホルモン注射薬:500〜1000円程(医療保険3割負担の場合)
性同一性障害での男性ホルモン補充は自費となります。
性同一性障害の診断書がある場合には持参の程宜しくお願い致します。
40歳前後以降の男性において加齢や心身の過度のストレス等が原因となって日本では特に男性ホルモンの中で遊離テストステロンの急激な低下が起こり、男性更年期の様々な症状が起きます。また、生活習慣病とも関連が深いと言われています。
加齢に伴う男性ホルモンを産生する細胞減少(数)や機能低下(質)や頭部から精巣への刺激伝達の機能異常が関与していると考えられています。
★男性ホルモンの作用は下記です。
・脳:性欲、勃起、意欲向上
・筋:筋力の維持
・腎臓:貧血を改善するエリスロポエチンホルモンの刺激
・骨髄:血液幹細胞を刺激し貧血の改善
・皮膚:毛髪の育成、頭禿、皮脂の産生
・男性生殖器:陰茎の発育、前立腺への作用
★男性ホルモン(アンドロゲン)補充療法の除外基準
・前立腺癌
・治療前PSA2.0ng/ml以上
・多血症
・重度の肝、腎機能障害
・うっ血性心不全
・重度の高血圧
・夜間睡眠時無呼吸症候群
高齢化社会において男性性腺機能低下症に対する診断、治療は重要です。
毎日の生活が快適に過ごせるように一緒に考えていきましょう。
EDとは満足な成功を行うのみ十分な勃起が得られないか維持できない状態が持続する事です。
病因として器質性、心因性、混合性があり、有病率は加齢とともに上昇しEDの発生率は4-66/1000人と言われています。EDのリスクファクターは数多くありますが、肥満、運動不足、肥満があり日常生活から是正の程宜しくお願い致します。加齢による勃起力低下がございますが、生活習慣病はEDに大きく関与致します。糖尿病では糖尿病罹患期間、末梢神経障害、BMIが有意に関連しており、糖尿病は微小血管障害も障害されるため、神経性と血管性の双方からEDが起きます。高血圧は勃起機能と関わる神経・血行動態・生理活性物質等のバランスが崩れる事が関与し、また高血圧により虚血性心疾患や腎不全等の合併症が発生する事でEDが続発している可能性があります。狭心症や心筋梗塞などの虚血性心疾患の発生の2-3年前にEDを自覚する事があり、EDが冠動脈疾患の発生を予測するマーカーと言われています。喫煙については血管の壁の血管内皮障害、陰茎への血流障害が起き、血管のしなやかさの平滑筋の減少や硬い組織のコラーゲンが増えてしまいます。男性更年期で記載したようにテストステロンは勃起に必要な神経、血管、海綿体組織を正常に保つ機能があり、性腺機能低下がデータである場合にはテストステロン補充によってEDが改善する事があります。
その他慢性腎臓病による血流障害、神経障害が起き、血管の平滑筋を弛緩して陰茎への血流の増大を促す発端となる一酸化窒素(NO)の合成を阻害して勃起力が低下します。
その他神経疾患(パーキンソン病)、脊髄損傷等の外傷、薬剤(降圧剤の中の利尿薬、β刺激薬、Ca拮抗薬)、抗うつ薬、また、前立腺体積を縮小や毛生え薬のデュタステリドは中止後も勃起障害が持続する事があります。治療薬として下記の処方がございます。
勃起改善薬:タダラフィル20mg 1錠 1200円(自費、院内処方、1回10錠まで:別途初診料(再診料)がかかります。)
勃起障害に関して相談しやすいように院内(受付・トイレ)にカードがございますので、カードを受付に診察券や保険証と提出して頂ける事で診察もスムーズになりますので是非御活用下さい。
現在、16人に1人のお子さんは生殖医療を介して誕生する時代になっています。子どもが欲しいけれど、なかなか妊娠出来ないというご夫婦が増えていますが、実は、不妊の要因の約半分は男性側にあります。つまり妊娠は御夫婦の協力がとても大切です。しかし、男性は婦人科には行きづらいし、そもそもどこで診てもらったらいいのか分からないという方も多いと思われます。当院はそういった不妊に悩むご夫婦の男性不妊の診察を行っている日本でも数少ないクリニックです。
2022年時点で男性不妊の生殖医療専門医は全国で73人程、千葉県は8人のみです。恥ずかしいというお気持ちもあると思いますが、生殖医療の専門医が診療致しますので、どうぞ安心していらして下さい。デリケートの内容が含まれますので診察前に問診票の記入を頂き、出来る限りの情報を集めてから診察させていただければ幸いです。不妊症の精査は早い事に越したことはないのでブライダルチェックだけでもお気軽にお越し下さい。
レディース(ウイメンズ)クリニックでの精液検査結果の相談も遠慮なく御相談下さい。泌尿器科外来診察時間に診療を行っております。
各々家族計画に御考えがあると思います。当院は小児科を標榜しており、お子様も御一緒に来院可能です。遠慮なく家族で大事な話をして今後の方針を相談下さい。
◆男性不妊の主な要因
造精機能障害(無精子症など)、その他、性機能障害(勃起、射精障害)精路通過障害(精子の通り道が狭い)、染色体異常等です。
◆診察の流れ
1.問診票の確認、2.診察(問診、希望の有無で視診、触診)、3.検査を行います。
2.視診は主に下腹部、恥毛や陰茎の評価を行います。
幼少期の手術の有無、男性ホルモン分泌の予測、血流障害の評価、また染色体異常の有無を考慮し体格を評価するために行います。
触診は精巣の萎縮、硬さによる造精機能障害の予測、精巣腫瘍の有無等の確認を行います。また、精巣からの精子の道に問題ないか確認し、視診と同様に血流障害の有無を評価します。
視診、触診は現在の状態を把握するために大切ですので、御協力を検討頂ければ幸いです。
3.当院での主な検査は精液検査、性ホルモン採血、陰嚢超音波です。
精液検査については3日禁欲でリラックス出来る自宅での採取をお願い致します。採取後60分以内(最大90分以内)で当院来院出来る方のみ検査可能です。基本的に初診時に専用の検体採取容器を渡して再診時に検査とさせていただきます。
精液検査は精液の液状化を確認後に最新の機械(精子特性分析機)で正確に判定を行い、約2分で結果が分かります。
運動良好な精子が多いほど卵子の受精の場である卵管膨大部に達する精子の数が多くなり受精率が高くなります。通常の精液検査にて運動する精子を目視で評価する方法は客観性・再現性の点から限界があり、精子受精能を評価することは難しいです。つまり精子の機能(質)の評価は困難です。
当院の精液検査は目視法では測定出来ない直線運動(高速、低速)をして卵子に受精可能な精子と頭部や尾部のみ動いており卵子に侵入出来ない微細運動精子の有無を正確に区別出来ます。一見運動率が基準値以上で問題ないが、ほとんどが微細運動精子のみの場合には治療方針として人工授精や体外受精は適応外と判断出来ます。
前進運動率の解析が簡便かつ正確に出来、精子濃度にスピードを考慮した受精能力を判定する精子自動性指数(SMI)等で数値化して測定も出来るため、御協力して採取頂いた検体の精子機能(精子受精能)を詳細かつ正確に評価する事が出来ます。
性ホルモン採血は体内ホルモンの状態及び精巣に作用しているかどうか評価する大事な検査となります。性ホルモンを的確に測定するため午前中のみに採血を行います。結果は他の医療機関と同じく1〜2週間程時間を要します。
陰嚢超音波検査は実際の精巣の体積、精巣内の異常、精巣上体異常の有無及び精索静脈瘤の有無等身体の造りの異常について評価する事ができ、泌尿器科外来診療時間時に検査可能です。

医療側面の治療と共に日常生活に出来る生活療法もお伝えし、目標達成に向けて皆さんと一緒に考えていきたいと思っております。検査結果で精索静脈瘤や無精子症の時にも出来る限りの治療を御提案し、手術の必要性がある時には当院と確立した私が勤務している関連病院でしっかりサポートさせていただきます。そのため関連病院への紹介後の担当外来医師は変わらず御不安な事、疑問点を遠慮なく御質問頂ければ幸いです。
手術に関しては基本1泊2日です。
術後翌日の状況をしっかり確認する事がとても大事であると考えております。
精索静脈瘤
顕微鏡下精索静脈瘤低位結紮術を保険適応で行っております。貴重な時間と御夫婦で決断頂いたその1機会の気持ちを大切にし、顕微鏡での特性を存分に生かして大切な精巣機能を守るために精巣への貴重な動脈を可能な限り複数本残し、リンパ管もしっかり温存し、顕微鏡で確認出来る細い逆流静脈を含めて静脈を切除致します。
手術後数か月〜半年で精液検査の改善を認め、数ヶ月で自然妊娠や約半年で双子を妊娠された御夫婦もいらっしゃいます。体外受精や顕微授精での奥様の採卵の御負担がなくなり、また保険適応での手術のため、経済的御負担も少なく目標を達成出来る可能性があります。
無精子症
2022年6月1日より精巣内精子回収術(顕微鏡下精巣内精子回収術、単純精巣内精子回収術)を保険適応で行っております。生殖補助医療に関しては顕微授精となります。顕微授精を行っているレディースクリニックへ検体を運搬し、その後はレディースクリニックでの治療が中心となります。
精管形成術は行っておりません。
治療の選択肢として考慮出来、御希望時には大変申し訳ありませんが、関連外の病院への御紹介となります。
以下は実際に男性不妊と診断された方にご説明している内容となります。
1. 造精機能障害:精巣で精子を作る機能
男性不妊の8割以上の原因です。
イ)幼少時に陰嚢内に精巣がない停留精巣
ロ)精巣内容物を包む膜から水が産生する陰嚢水腫
ハ)外傷、成長とともに精索が捻じれて精巣への血流障害が起きる精巣捻転の既往
ニ)青年期の耳下腺炎症時の精巣炎の合併
ホ)発熱、高温環境(精索静脈瘤、下着がブリーフやビキニ等)
へ)抗精神神経薬、抗潰瘍剤、抗癌剤、放射線治療、
ト)頭部のから出るホルモン異常による精巣への情報伝達異常
チ)喫煙、肥満、運動不足
リ)高度ストレス、神経性食思不振症、甲状腺疾患
ヌ)ホルモン検査異常
ホ)精索静脈瘤は精巣から戻る静脈の血液の流れが悪くなる事で出来る静脈の瘤の事です。血流が滞るため精巣の温度の上昇が起き、また静脈にて低酸素状態になり造精機能障害の要因となります。男性不妊症の21〜39%で認められます。
手術で精索静脈瘤を切除する事で精液所見は60-70%で改善が期待出来ます。
ヌ)に関しては紹介にて頭部MRIを評価して頭部の下垂体腫瘍の有無を確認します。
その他は各々検査結果にて生活療法と内服加療(漢方、内分泌療法等)を検討します。
改善が見込まれない場合には、外科的治療(精巣内精子回収術)を次の治療選択肢で考慮致します。精巣内精子回収術で精子を回収した場合には顕微授精となります。
2. 性機能障害(勃起障害、射精障害)
約20年前は数%でしたが、現在約14%と頻度が増えています。
・勃起障害:満足な性行為を行うのに十分な勃起が得られないか、または維持出来ない状態。陰茎部への血流と神経の伝達がスムーズで無い場合に主に起き、ストレスも要因となります。
イ)喫煙:血管が収縮し血流不良になる。また血管へのストレス
ロ)肥満、運動不足による生活習慣病(高血圧、糖尿病:血流と神経障害)
ハ)心疾患、睡眠時無呼吸症候群、慢性腎臓病:血流障害
ニ)うつ病:心因性勃起障害
ホ)ストレス:・理解のない家族や友人からの言動、職場に不妊治療に非協力的な人がいる。(社会的ストレス)
・タイミング法等で排卵日にプレッシャーがかかり成功がうまく出来ない男性がしばしばいます(妊娠活動によるストレス)
基本的に生活習慣の改善や勃起改善薬を使用して加療を行います。
・射精障害
イ)機能的射精障害:
1.早漏:膣内射精障害が出来、不妊への影響は基本的にはないです。
2.遅漏:神経学的に異常所見はなく、心因性の問題と考えられています。膣内射精障害の要因で外科的に精巣内精子採取が必要な場合があります。
3.膣内射精障害:自慰行為での射精可能時には人工授精の適応であり、状況次第で外科的に精巣内精子採取が必要な場合があります。
ロ)神経因性障害:脊髄損傷で起こり、射精障害に加えて勃起障害や精子形成障害(精巣温度上昇、精子の鬱滞、感染症)を伴います。
膣内射精障害と同様に外科的加療が必要な場合があります。
ハ)逆行性射精:膀胱頸部閉塞障害により尿道へ行く精液が膀胱内に逆に流入して起こります。
1.経尿道的前立腺切除術:前立腺肥大を切除し、前立腺より頭側にある膀胱頸部の通過性が良くなり精液の逆流が起こります。
2.排尿障害に対するα遮断薬、抗うつ薬
3.糖尿病や多発性硬化症などの神経疾患:神経機能の障害で膀胱頸部の閉塞障害です。
4.直腸癌術後、後腹膜リンパ節廓清術:神経損傷により精液を排出するのが困難になります。
内服加療にて逆行性射精を元の射精(順行性射精)に変え、精液量の増加を期待します。
副作用の問題があり、加療可能か問診で判断致します。
3. 精路通過障害:精巣→精巣上体→精管→精嚢(射精管)→精丘→尿道のどこかに通過障害がある状態。
イ)鼠径ヘルニア根治術、腹膜炎と伴う盲腸手術:精管の通過障害
ロ)精索、陰嚢の手術:精巣上体、精管の通過障害
ハ)前立腺炎、精巣上体炎:射精管、精丘、精巣上体の通過障害、精路の感染症で精子にも感染が起きて精子の運動率の低下が起こる要因にもなります。
ニ)精管切除術(パイプカット):精管の通過障害
ホ)前立腺嚢胞、射精管狭窄、精嚢異常拡張症:精丘、射精管開口部圧迫による通過障害
ヘ)嚢胞性線維症
ト)先天性精管欠損
チ)幼少期から良く風邪を引く(慢性副鼻腔炎、気管支拡張症、慢性気管支炎):精子を押し出す精路の線毛運動障害、また、精子自体の機能も異常になり、運動が不活発になります。
精路のどこで障害されるかで治療方針が異なります。
例えば精丘部での閉塞の場合には内視鏡の手術で切除を行う事で精液所見は50%改善期待出来ます。
精巣上体や精巣上体に近い精管の場合には狭い部位を切除し、精管と精管及び精管と精巣上体を吻合する事で通過障害を改善出来る可能性があります。イ)とニ)は通過障害を解除出来る可能性がありますが、閉塞部位と通過性の確認によります。開通率は80〜90%で自然妊娠率は20〜30%前後です。
吻合で通過障害が解除出来ない場合には精巣内精子回収術の適応となります。
4. 染色体異常:視診、嗅覚異常、触診、ホルモン検査、超音波検査で異常所見あり、精液検査で無精子症や高度乏精子症である場合には染色体の異常がある可能性があります。
その時には外注にて染色体検査を検討致します
| 男性不妊症相談(初診料) | 3000円 |
| 男性不妊症相談(再診料) | 2200円 |
| 精液検査 | 8000円 |
| 腹部・精巣超音波 | 7000円 |
| ホルモン採血 | 8000円 |
| クラミジア(尿) | 1380円 |
| クラミジア+淋菌(尿) | 3560円 |
| Y微小欠失検査(採血) | 40000円 |
| 染色体検査 | 35000円 |
| 勃起改善薬:タダラフィル20mg 1錠 | 1200円 |
上記全ての検査に別途診察料(初診、再診)かかります。
当院は自費診療のみ5000円以上の時にはMaster、VISAでのカード支払い可能です。 各市により男性不妊検査の費用が助成の対象となります(例:浦安市は1万円以上で1回限り1万円の助成があり、より詳細に精査出来る精液検査等の費用負担の軽減が出来ます。)。
平素より大変お世話になっております。
東京学館浦安高等学校(高洲公園)近くにある玲邦会えとう医院(当院)は
えとう医院ホームページや病院なびの記載にあるように月、火、金曜日(8:00〜11:30、14:00〜16:30)、土曜日(8:00〜12:30)に泌尿器科外来を行っています。
下記の患者様がいらっしゃいましたら、御紹介いただければ幸いです。
当院はバリアフリーであり、どなたでも受診可能でございます。
注射、膀胱内注入、カテーテルの交換は予定の1週間前に一度御連絡か受診いただけますと幸いでございます。皆様が健やかに毎日を過ごして頂くように精進してまいります。宜しくお願い致します。